VAUGHAN

905-832-3264

WHITBY

905-425-4253
905-832-3264

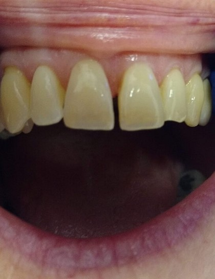
Bonding Gallery

See how dental bonding repairs chips, closes gaps, and restores your smile’s natural shape.Bonding can erase chips, fill gaps, and smooth out imperfections, bringing balance back to your smile.

SCHEDULE A CONSULT